Μερική Αρθρόδεση Ταρσού για τη Θεραπεία Κατάγματος Σησαμοειδών Οστών Μεταταρσίου και Ρήξης Έσω Πλάγιων Συνδέσμων σε Σκύλο Κυνηγιού
Δρ Βαλάντη Παπαγαπίου - Χειρουργός Κτηνίατρος στο MP West Limassol Veterinary Hospital
Οι σοβαροί τραυματισμοί του ταρσού σε σκύλους εργασίας μπορούν να οδηγήσουν σε πολύπλοκες κακώσεις που απειλούν τη λειτουργικότητα του άκρου και την αθλητική απόδοση. Στην παρούσα αναφορά περίπτωσης περιγράφεται η διάγνωση και η χειρουργική αντιμετώπιση ενός σκύλου κυνηγιού με πολλαπλά κατάγματα σησαμοειδών μεταταρσίου και πλήρη ρήξη των έσω πλάγιων συνδέσμων. Πραγματοποιήθηκε μερική αρθρόδεση ταρσού, με στόχο τη σταθεροποίηση της άρθρωσης και τη διατήρηση της κίνησης στην ταρσοκνημική διάρθρωση, ώστε να καταστεί δυνατή η επιστροφή του ασθενούς στη λειτουργική δραστηριότητα.
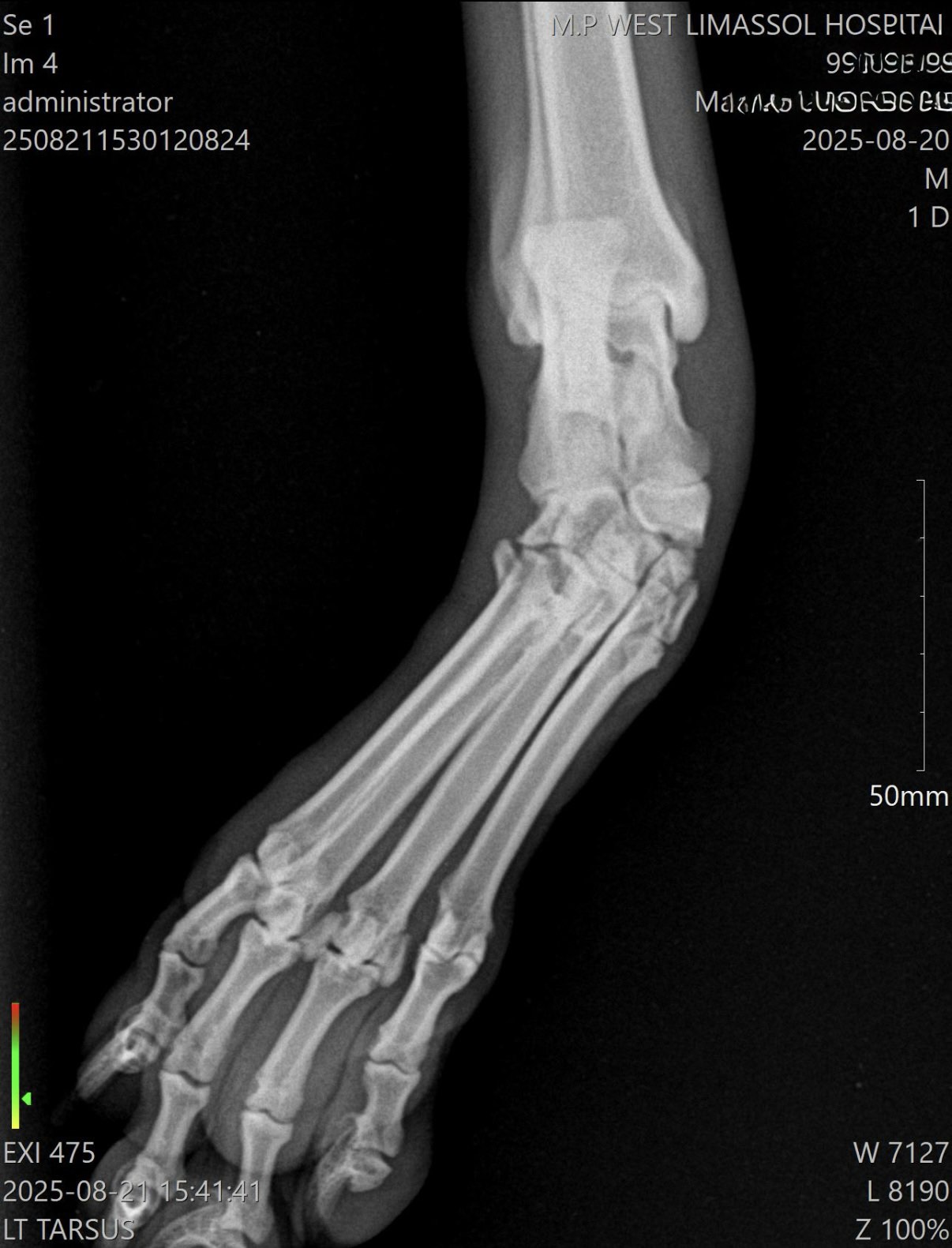
Ένας νεαρός, δραστήριος σκύλος κυνηγιού προσκομίστηκε μετά από βίαιο τραυματισμό κατά τη διάρκεια εργασίας. Κατά την κλινική εξέταση παρατηρήθηκε έντονο οίδημα, αστάθεια του ταρσού και έντονος πόνος κατά την κινητοποίηση. Η ακτινολογική εξέταση, σε συνδυασμό με Αξονική Τομογραφία (CT), ανέδειξε πολλαπλά κατάγματα σησαμοειδών μεταταρσίου καθώς και πλήρη ρήξη των έσω πλάγιων συνδέσμων. Λόγω της σοβαρής αστάθειας, η συντηρητική αγωγή κρίθηκε ακατάλληλη.
Χειρουργική Τεχνική
Σχεδιάστηκε μερική αρθρόδεση του ταρσού με σκοπό τη σταθεροποίηση των κατεστραμμένων αρθρώσεων και ταυτόχρονη διατήρηση της λειτουργίας της ταρσοκνημικής άρθρωσης, η οποία είναι απαραίτητη για την απόδοση σε σκύλους εργασίας και άθλησης. Η χειρουργική προσπέλαση περιλάμβανε καθαρισμό των αρθρικών επιφανειών και σταθεροποίηση με δύο πλάκες, τοποθετημένες στρατηγικά ώστε να εξασφαλίσουν μέγιστη βιομηχανική σταθερότητα και να ευνοήσουν την οστική πώρωση. Η χρήση διπλής πλάκας πρόσφερε αυξημένη ακαμψία, μειώνοντας τον κίνδυνο επιπλοκών όπως θραύση υλικών ή καθυστερημένη πώρωση.
Αποτέλεσμα
Η επέμβαση ολοκληρώθηκε χωρίς επιπλοκές και ο ασθενής ανένηψε ομαλά από την αναισθησία. Η μετεγχειρητική απεικόνιση επιβεβαίωσε τη σωστή θέση των υλικών και την ικανοποιητική ευθυγράμμιση της άρθρωσης. Κατά τη φάση ανάρρωσης εφαρμόστηκε περιορισμένη δραστηριότητα και ελεγχόμενη άσκηση ώστε να διευκολυνθεί η οστική επούλωση με ελάχιστη φόρτιση των υλικών.
Στους επανελέγχους, ο σκύλος έφερε προοδευτικά βάρος στο χειρουργημένο άκρο, με εμφανή βελτίωση της σταθερότητας και της άνεσης. Η πώρωση των αρθροδεδεμένων διαρθρώσεων επιβεβαιώθηκε ακτινολογικά. Η διατήρηση της ταρσοκνημικής λειτουργίας συνέβαλε στη σχεδόν φυσιολογική μηχανική βάδισης. Ο ασθενής αναμένεται να επιστρέψει πλήρως στη δραστηριότητα κυνηγιού κατά την επόμενη περίοδο.
Η μερική αρθρόδεση ταρσού αποτελεί πολύτιμη θεραπευτική επιλογή σε περιπτώσεις σοβαρού τραυματισμού, όπου η διατήρηση όλων των αρθρώσεων δεν είναι εφικτή αλλά η λειτουργία της ταρσοκνημικής πρέπει να παραμείνει ανέπαφη. Η χρήση δύο πλακών παρείχε επιπλέον βιομηχανική στήριξη, ιδιαίτερα σημαντική σε ασθενείς υψηλών απαιτήσεων, όπως οι σκύλοι εργασίας. Η προσαρμογή του χειρουργικού σχεδίου στις λειτουργικές ανάγκες του ζώου επέτρεψε την αποκατάσταση της σταθερότητας και τη διατήρηση της απόδοσης.
Συμπέρασμα
Η περίπτωση αυτή αναδεικνύει τη σημασία της προηγμένης απεικόνισης στη διάγνωση πολύπλοκων τραυματισμών του ταρσού και καταδεικνύει ότι η μερική αρθρόδεση ταρσού μπορεί να αποκαταστήσει με επιτυχία τη λειτουργικότητα σε σκύλους εργασίας. Με σωστό χειρουργικό σχεδιασμό και σταθερή οστεοσύνθεση, ακόμη και ασθενείς με σοβαρές κακώσεις μπορούν να επιστρέψουν σε υψηλού επιπέδου δραστηριότητες.
Ο Ρόλος των Ιδιοκτητών στη Μετεγχειρητική Αποκατάσταση
Η επιτυχία μιας τόσο απαιτητικής χειρουργικής επέμβασης δεν εξαρτάται μόνο από τη σωστή διάγνωση, τον χειρουργικό σχεδιασμό και την τεχνική. Εξίσου σημαντικός είναι ο ρόλος των ιδιοκτητών στη μετεγχειρητική περίοδο.
Η αυστηρή τήρηση των οδηγιών περιορισμού της δραστηριότητας, η εφαρμογή ελεγχόμενων βημάτων φυσιοθεραπείας, η συνέπεια στη χορήγηση φαρμακευτικής αγωγής και η τακτική παρακολούθηση συμβάλλουν καθοριστικά στη γρήγορη και ασφαλή ανάρρωση. Χωρίς τη συνεργασία και την αφοσίωση των ιδιοκτητών, ο κίνδυνος επιπλοκών, όπως καθυστέρηση πώρωσης ή βλάβη των υλικών, αυξάνεται σημαντικά.
Στην παρούσα περίπτωση, η υπευθυνότητα και η φροντίδα που επέδειξαν οι ιδιοκτήτες έπαιξε καταλυτικό ρόλο στην επιτυχή έκβαση και στην ταχεία επιστροφή του σκύλου στις κυνηγετικές του δραστηριότητες.


